Идентифицированы ноги царицы Нефертари
7 декабря 2016 г. Историк
Ученые установили, что фрагменты ног, найденных в разграбленной в древности могиле Нефертари в 1904 г., принадлежат самой царице.
Фрагменты ног, найденные в гробнице Нефертари. Credit: Habicht et al., PLOS ONE 11(11): e0166571
Когда гробница Нефертари была вскрыта в 1904 г., археологи нашли в ней следы беспорядка, оставленного древними грабителями. Среди черепков и лома было обнаружено три фрагмента мумифицированных ног. Естественно, ученые предположили, что ноги принадлежат царице Нефертари, одной из жен Рамзеса II Великого, правившего Египтом с 1279 по 1213 гг. до н. э., в эпоху XIX династии.
Научное изучение фрагментов ног стало возможным только в наши дни. Ученые установили, что ноги принадлежат женщине среднего возраста, ростом около 165 см, которая по всей вероятности страдала артритом. Все эти данные позволили заключить, что ноги действительно принадлежат царице Нефертари. Отчет об исследовании был опубликован в журнале PLOS ONE.
Росписи в гробнице Нефератри
Нефертари - одна из самых известных цариц древнего Египта, отчасти благодаря тому, что ее гробница в Долине Цариц была наиболее богато украшена, а потолки в ней расписаны как звездное небо. Одна из статуй царицы была обнаружена в горном храме Абу-Симбел на юге Египта. Статуя Нефертари того же размера, что и статуя ее мужа Рамзеса II , что свидетельствует о высоком статусе супруги фараона.
Статуя Нефертари (слева) рядом со статуей Рамзеса II в Абу-Симбел, Египет. Credit: Habicht et al., PLOS ONE 11(11): e0166571
Гробница Нефертари была разграблена еще в древности, прекрасный саркофаг из розового мрамора с останками царицы был разбит. Сохранилась пара искусно выполненных сандалий, 34 деревянные ушебти, призванные выполнять в загробном мире различную работу вместо умершего, с выгравированным на них именем Нефертари. Обнаруженные фрагменты ног в количестве трех штук хранятся в настоящее время в Египетском музее в Турине, Италия, на них сохранились бинты. Самый длинный фрагмент - 30 см - представляет собой часть бедренной кости, коленной чашечки и часть берцовой кости. Второй и третий фрагменты - часть большой берцовой кости и часть бедренной кости соответственно.
Сандалии, найденные в гробнице Нефертари. Credit: Habicht et al., PLOS ONE 11(11): e0166571
Команда ученых под руководством Франка Рюхли, директора института эволюционной медицины в университете Цюриха, установила, что костные останки принадлежат женщине. На основании размера костей и наличия в них артритических поражений возраст умершей установлен между 40 и 60 годами. Это согласуется с возрастом, в котором умерла Нефертари на 25 году царствования своего мужа.
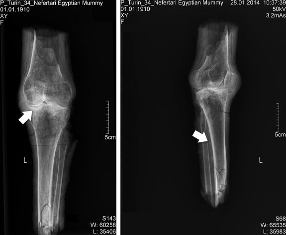
Рентгеновские снимки ног Нефертари. На правом снимке стрелкой указаны следы кальциноза в артериях, на левом стрелкой указаны следы артрита. Credit: Habicht et al., PLOS ONE 11(11): e0166571
Рентгеновские лучи выявили признаки кальцификации на артериях, располагающихся вдоль большеберцовой кости, что, возможно, является признаком атеросклероза или других заболеваний, связанных с возрастными изменениями эластичности сосудов. Анализ ДНК провести не удалось из-за деградации и контаминации биологического материала. Биохимический анализ показал, что вещества, использовавшиеся при бальзамировании, в том числе обильное смачивание бинтов в животном жире, характерны для эпохи XIX-ХХ династий.
На основании размера костей были сделаны предположения о росте царицы -165-168 см, что согласуется с размером сандалий (37-38 размер), найденных в гробнице. Радиоуглеродный анализ относит возраст останков между 1607 и 1450 гг. до н. э., что намного раньше того времени, когда жила Нефертари. В отчете, однако, указывается, что компоненты бальзамирования и загрязнения от отложений могут объяснить подобное расхождение.
Для идентификации останков использовался и метод исключения. Поскольку в гробнице не обнаружено останков других людей, мало вероятно, что кости принадлежат одной из дочерей Нефертари. Гробница не использовалась для повторных захоронений, и, хотя данные радиоуглеродного анализа относят останки к более раннему периоду, маловероятно, чтобы они попали в гробницу как-то иначе, чем при официальном захоронении.
Как указывает в отчете, хотя и не существует абсолютной уверенности в этом, но все указывает на то, что мумифицированные останки, найденные в гробнице Нефертари, принадлежат именно ей самой.


